Топ-100 Мужчина пришел в больницу с деревянным колом в голове
  • 09 апреля, 13:09
  • Астана
  • Weather icon +12
  • 520,93
  • 609,07
  • 6,68

Мужчина пришел в больницу с деревянным колом в голове

Фото: tengrinews.kz

В Польше мужчина самостоятельно пришел в отделение "скорой помощи"

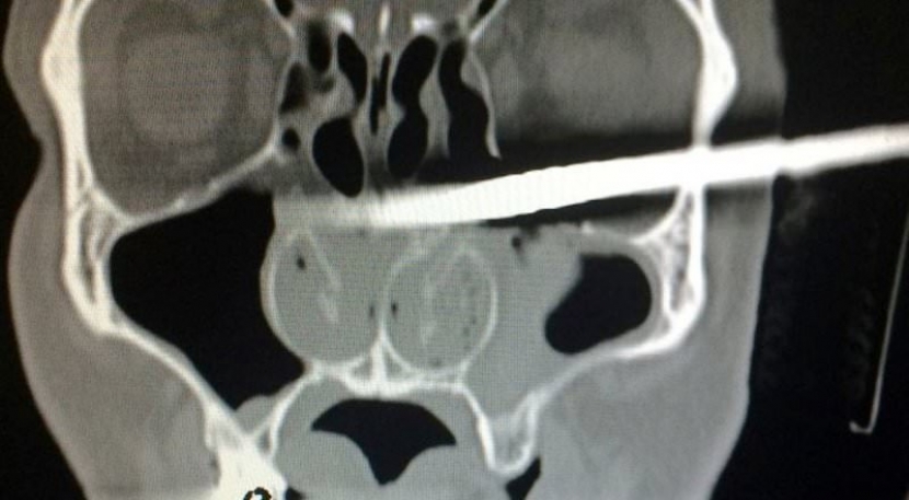
В Польше мужчина самостоятельно пришел в отделение «скорой помощи» с 38-сантиметровым деревянным колом в голове, пишет Tengrinews.kz со ссылкой на New York Post.
40-летний житель города Конин Камиль Подвински занимался ремонтом в своем доме, когда поскользнулся и напоролся на острый деревянный брусок. Тот словно копье пробил его череп насквозь. Кол вошел чуть ниже глазницы и вышел через затылок.
Врачам потребовалась помощь пожарных, которые обрезали кол, и мужчину смогли поместить в рентген-аппарат. Затем сохранявший спокойствие мужчина был переведен в специализированный госпиталь в Познани, где ему успешно удалили посторонний предмет. «Это чудо, что кол не попал в глаз и не причинил серьезных повреждений», - отметили в клинике.
Смотрите также:

Предложить новость

Спасибо за предложенную новость!

Надеемся на дальнейшее сотрудничество.


×